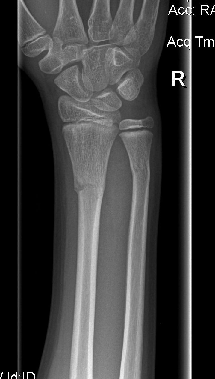
Nikhil broke his arm last week – both radius and ulna. He’ll be in a cast for the next 4 weeks. Fortunately, no surgery needed but the first few days are quite painful.
At the hospital, they now send you home with a CD of x-ray pictures. This is cool – no more films.


get well soon!